Take control of your oral health. Book your screening appointment.Oral cancer is preventable. Regular screenings are your best defense.
Your smile is worth it. Get screened today.Your perfect smile, designed just for you.Transform your smile, transform your life.
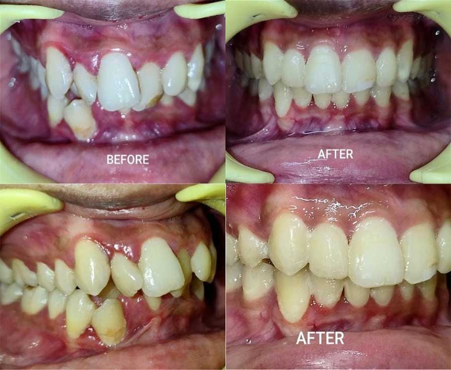
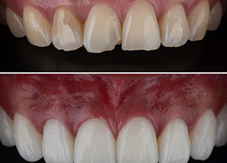
Patient Experience
Precision, care, and expertise in oral and maxillofacial surgery.Your smile, our priority. Expert oral and maxillofacial surgery.
Dr. Abhishek Santra
Consultant Dental Surgeon
- Member of Indian Dental Association
- Asst. Secretary, Indian Dental Association Kolkata and Suburban Branch
- Director, Medmagic Welfare FoundationÂ
- Formerly attached with Dr.R.Ahmed Dental College and Hospital, Kolkata
- Formerly Attached with AMRI Hospital, Kolkata
Visited Clinic
Suraksha Diagnostic Centre
Dhaneswarpur
- Saturday 9AM-1PM & 4PM-7PM
- Sunday 9AM-1PM & 4PM-7PM
- Monday 9AM-1pm
- Tuesday 9AM-12PM & 4PM-7PM
- Webnesday 9AM-9:30AM & 4PM-7PM
- Thursday 9AM-12PM
- Friday Close
Suraksha Diagnostic Centre
Deuli , Belda
- Monday 4PM-7pm
- Thursday 4PM-7pm
Star Medical
Bhadua, Chandpur
- Wednesday 10 AM-1PM
![]()
avisek gon2024-05-11Experienced doctor
Mohini Paul2024-03-12my experience with this dental surgeon was exceptional and I am grateful for their expertise and compassionate care. I would highly recommend him to anyone in need of dental surgery. Thanks a lot .
satyabrata hazra2024-03-12I can recommend Dr. Abhishek Santra . Very professional dentist, highly careful and great quality of work. Nice behaviour to patients by giving clear and detailed explanations. Well maintained and very hygienic clinic. Overall service is excellent, great experience. Thank you Dr. Abhishek Santra. 🙂🙂
About Dr. Abhishek Santra
Dr. Abhishek Santra , graduated in Dental Surgery from Dr. R Ahmed Dental College and Hospital,Kolkata ,
Worked with prestigious Dr. R Ahmed Dental College and Hospital and AMRI Hospital.
Beyond his professional accomplishments, Dr. Santra is revered for his humility and kindness, traits that endear him to all who have the privilege of crossing his path. Whether delivering medical aid to underserved regions, advocating for marginalized communities, or inspiring the next generation of humanitarians, Dr. Santra’s impact knows no bounds.
In recognition of his outstanding contributions to humanity, Dr. Santra stands as a shining example of selflessness and dedication, a true luminary in the field of philanthropy and medicine.
Intensive care
Our dental intensive care unit is equipped to handle critical cases, offering immediate, specialized attention for trauma, severe infections, and post-surgical recovery.
Specialised Support Service
We provide specialized support services tailored to your unique dental needs. From advanced diagnostics to customized treatment plans, our expert team offers comprehensive solutions, ensuring the best possible care.
Medical & Surgical
Our dental chamber offers both medical and surgical solutions for complex oral health issues. From managing infections to performing intricate dental surgeries, our team ensures safe and effective treatments.

